上海一男子3年脑梗3次,原因竟是“多一个心眼”

来源:劳动观察 发布时间:2021-09-27 15:58

摘要: 刻不容缓,堵住“心眼”!

“你心眼真多”,我们常常用来形容某些人想得多或者有心机,而如果心脏真的“多一个心眼”可能会有生命危险。近日,上海德济医院心内科救治了一名脑梗患者,就是因为“多一个心眼”,导致他在三年内脑梗了三次,差点危及生命。


汤先生平时喜欢锻炼,生活规律,没有什么不良嗜好,身体各方面素质都很好。但近三年来,他竟然先后发生3次脑梗,最严重的一次半夜突发,浑身麻木说不出话来,幸亏家人送医及时,才捡回了一条命。


有了从鬼门关抢救过来的经历,汤先生意识到了事情的严重性,但是让他郁闷的是,由于没有找到脑梗的病因,无法对症治疗,只能靠药物缓解,再次复发的可能性非常高。他经过多方询问打听,今年9月中旬,汤先生来到了上海德济医院心内科。


“作为一名中年人,这位患者的脑血管健康状况其实还可以,按理说不应该频繁脑梗。”有着丰富心脏疾病诊治经验的张阳主任想到了一种可能——卵圆孔未闭。


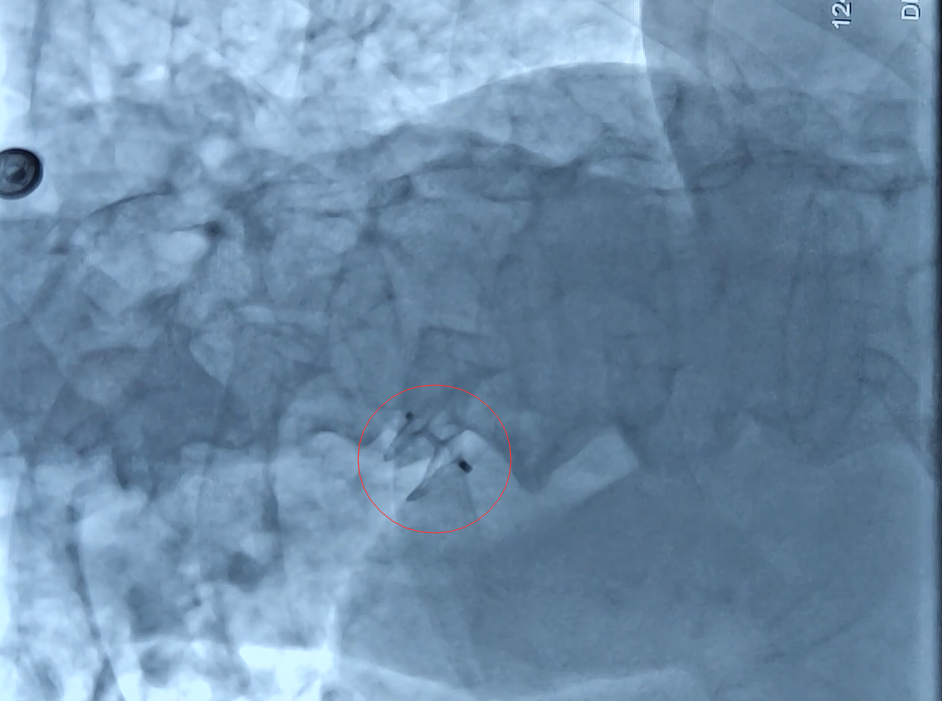
经检查,果然证实了张阳主任的想法。汤先生多次脑梗的原因确实是卵圆孔未闭。


“卵圆孔是左右心房隔膜上的一个小孔,一般在婴儿出生后一年内会自行闭合。若是不闭合,心脏上会留下一个小‘心眼’,称为卵圆孔未闭。”张阳主任科普,“这个小孔会导致心脏血栓容易掉进脑血管,出现体循环栓塞,造成生命危险。”


找到病因,接下来就是对症治疗,为了防止汤先生再次发生脑梗,一劳永逸的解决隐患,上海德济医院心内科张阳主任为汤先生实施了目前新兴的手术治疗方式——“介入封堵术”,从而堵住“心眼”。手术非常顺利,整个过程仅花了30分钟。


“谢谢你们,我现在各方面都感觉很好了,没有什么不舒服的地方”汤先生对前来询问病情状况的张阳主任说道。


“找到病因,堵住了发病的源头,再也不用提心吊胆了。”汤先生的儿子对医务人员说。因之前没有明确病因,对于父亲的病情,就像心中悬着的一个大石头一样,终于在这一刻落地。


术后三天,汤先生恢复得很好,顺利出院。


张阳主任提醒,卵圆孔未闭并不少见,有数据显示其发生率可达到25%,也就是说,4个成年人中就有1个存在卵圆孔未闭。只不过,大部分情况下这个“裂孔”十分微小,没有影响生命健康。但如果出现不明原因的脑梗、偏头痛、肢体麻木、晕厥等情况,需注意排查是否因卵圆孔未闭导致,早筛查,早治疗。


(头图中黑色小孔系“多出来的心眼”)


通讯员:徐敏
责任编辑:徐巍
劳动观察新闻,未经授权不得转载
收藏

相关新闻

上海市第一支社会医疗救援队进驻集...

世界卒中日:高危人群筛查异常率9...

上海一男子3年脑梗3次,原因竟是...

首页

顶部