22岁小伙突发肾衰竭:给他肾脏添堵的这样东西,很多人也都在瞎吃!

来源:劳动观察 作者:肾上线 发布时间:2020-10-30 14:07

摘要: 均衡健康的饮食、户外活动接受阳光、适当的锻炼,这些给身体带来的好处,是任何补充剂都难以替代的!

随着人们对健康关注度越来越高,迎合市场需求的各类保健品、营养补充剂、补品,受到热烈追捧!

肾内科医生强调:随便买随便吃,当心你的小肾承受不住!

这些年来,相关伤肾事件层出不穷。我们一起来看,一个因补充维生素D导致的肾衰竭病例。

一位22岁的年轻小伙子,平时身体健康,喜欢健身,突然出现恶心呕吐、肚子不舒服,去急诊科看病。

结果这一查,却查出肾衰竭来,他的血肌酐高达760umol/l!本应肾功能最好的年纪,可他血肌酐远超正常值的5、6倍,这提示,肾脏彻底罢工了!

肾内科医生从他健美的身材,以及既往病史,发现了一些端倪。因为热爱健身,2年来,他一直使用一些营养物质保持身材,1年前有过肾结石发作。

他的电解质结果显示:血钙3.44mmol/l,正常应该是2.11-2.52。

肾内科医生初步考虑:高钙血症引起急性肾衰竭。立刻给他进行了强有力的水化、利尿治疗,来降低血钙水平,但没用,血钙、血肌酐纹丝不动。

于是,又给他进行了6次血液透析,血钙还是没降下来。开始使用激素,泼尼松30mg/天,4天后,血钙总算有所下降。

就这样折腾了2周,小伙子的血肌酐慢慢恢复到159umol/l,血钙维持正常。

可是年纪轻轻的,怎么就突然肾不行了?这小伙子的肾功能还有希望完全恢复正常吗?

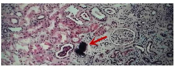
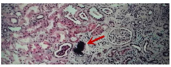
为了进一步查明原因,医生给他进行了肾穿刺,发现他的肾脏组织内,有大量的钙质沉积!

他的肾穿刺,那黑黑的一团为磷酸钙沉积。

不仅如此,在他的手臂、胸肌处,医生也发现许多的钙化聚集。我们不禁要问,他体内这么多的钙,从哪里来的?

原来,这2年,他一直在补充大量维生素D,维生素D可以促进钙的吸收,补充过多,会引起高钙血症、钙质沉积。他 每月肌肉注射50ml营养补充剂,根据商家提供的说明,他用的补充剂每ml含5万UI维生素D3。

不过,可惜的是,发现有点晚!从他的肾穿刺病理可以看出,由于钙质沉积时间较长,已经引起中度肾小管萎缩、肾间质纤维化,不可逆的瘢痕早就形成,他的肾功能不会再完全恢复到正常水平。

这并不是个例,因补充过量的维生素D导致肾功能损伤,在专业学术杂志,已有多例报道。

在临床中也碰到过一些患者,吃钙片、维生素D以强健骨骼、预防骨质疏松,结果没力气、食欲差来门诊看病,查出是高钙血症引起的肾损伤,建议停止补钙药后,患者症状消失,肾功能也恢复正常。

因此,在这里,专家希望大家转告给身边正在服用补钙药或保健品、补品的朋友:定期检查血钙、肾功能水平,警惕高钙血症和急性肾损伤!

均衡健康的饮食、户外活动接受阳光、适当的锻炼,给身体带来的好处,是任何补充剂都难以替代的!一些不能或不宜通过饮食、日晒获得足够钙质等特殊人群,应咨询专业医生的建议再进行补充。

责任编辑:孙明敏
劳动观察新闻,未经授权不得转载
收藏

相关新闻

让肾脏保持“年轻”的3件小事,不...

22岁小伙突发肾衰竭:给他肾脏添...

“药补不如食补”,补钙,喝骨头汤...

首页

顶部