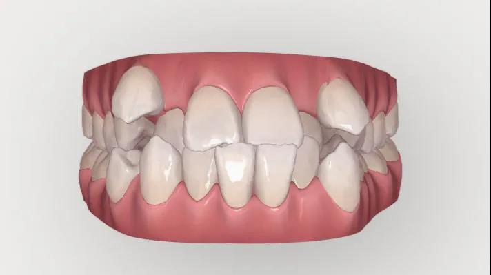
小朋友在生长发育过程中出现的牙列不齐,包括牙列拥挤、反合(地包天)、开合等,是由遗传和环境因素共同造成的,我们能预防的就是减少环境因素引起的牙列不齐。
↑牙列不齐
↑反合
↑开合
婴儿时期母乳或者奶瓶的喂养,要注意喂养姿势和方法,平躺喂养易导致婴儿下颌前伸习惯而造成乳前牙反合,应让婴儿45度斜躺着喂养。一般来讲,乳牙反合应在3~5岁左右开始矫正。多数人经过这次矫正可以恢复正常。但也有的孩子由于遗传等因素的影响,换牙之后又出现反合,即使如此,乳牙期的矫治也是必要的,因为可以减轻反合畸形的严重程度和对颌骨的影响。
45度斜躺喂养
在儿童期适当吃些含有粗纤维的食物,充分发挥咀嚼器官的功能,促进颌骨的正常发育;对患有鼻炎、腺样体肥大的儿童要尽早治疗,保持呼吸道通畅;预防和治疗龋齿,保持乳排列的完整;对于儿童口腔不良习惯应予尽早破除(如咬手指、吐舌头、咬上唇等),一方面可以教育儿童,使他们认识到口腔不良习惯的危害性,自觉地克服不良习惯,另一方面,必要时可以戴破除不良习惯的矫正器;在2岁之前戒掉奶瓶的使用,如果2岁之后还在使用奶瓶,容易形成牙齿排列不齐,俗称“奶瓶嘴”;在替牙过程中,如出现双排牙(即恒牙在乳牙的内侧或外侧已开始萌出,而乳牙仍未脱落),应及时拔除乳牙,使恒牙能够正常萌出。
↑双排牙
当乳牙过早缺失时,应及时去医院治疗,戴用间隙保持器,防止旁边的牙齿移位。如果已经发生以上情况,应根据不同情况随时进行早期矫治,以减少对颌骨的影响。
↑间隙保持器






